31-12-2025 19:27
Collected from loamy soil, at waterside (completel
30-12-2025 16:44
Pascal DucosBonjour,Une anamorphe rose stipitée, très nombre
30-12-2025 17:14
Bernard CLESSE
Bonjour à toutes et tous,Pourriez-vous aider Albe
29-12-2025 10:15
Hulda Caroline HolteHello, I found and collected this propoloid ascom
30-12-2025 09:04
Hello.A Pyrenomycete sprouting sparsely but very d
29-12-2025 17:44
Isabelle CharissouBonjour,J'aimerais savoir si d'autres personnes au
12-11-2021 00:03
Lepista ZacariasHi everybody,A week ago in my fiels trip I noticed
Arachnopeziza ?
Michel RIMBAUD,
26-03-2018 16:46
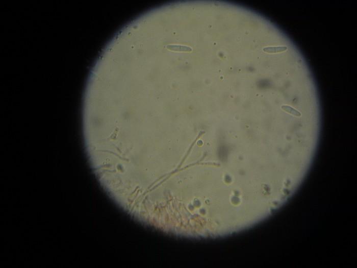
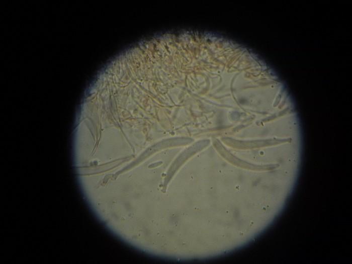
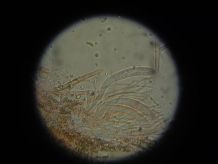
Hier j'ai récolté cette colonie de petits disco jaunes et marge ciliée, diam 0,4-0,5 mm, sessiles.
Asques 5,8 x 58 µ , J+ dans Melzer. Croziers + .
Spores hyalines 1-septées, 2,2-3,5 x 10,6-11,5 µ, un peu arquées.
Poils septés à paroi mince ou épaisse diam 3,2 µ.
Paraphyses filiformes ramifiées.
Je pense à A.trabinelloides (= cornuta ?), qu'en pensez-vous ?
Quelqu'un peut-il me fournir la clé de R.P.Korf ? Mon adresse mail : michrimbaud@aol.com
Merci d'avance.
Michel
Hans-Otto Baral,
26-03-2018 17:24
Re : Arachnopeziza ?
I see only one hair but from the available data it could well be.
Michel RIMBAUD,
26-03-2018 19:45
Re : Arachnopeziza ?
Merci beaucoup Zotto.
Michel
Michel






