28-07-2019 12:19
Glew DavidThank you for accepting me to the site. I am a ne
26-07-2019 15:18
Guy BuddyI have no idea. Spores are ~ 55 x 6.5 um.
27-07-2019 11:39
Georges GreiffHello, I am looking for the following paper that
24-07-2019 05:45
Yulia Lytvynenko
Dear friends.Looking for a copy of the following w
20-07-2019 22:51
Georges GreiffHello, What appears to be a bryophilous member of
25-07-2019 21:43
Hola a tod@s. un hongo fotografiado el pasado 12 d
Advice on croziers in Hymenoscyphus fraxineus
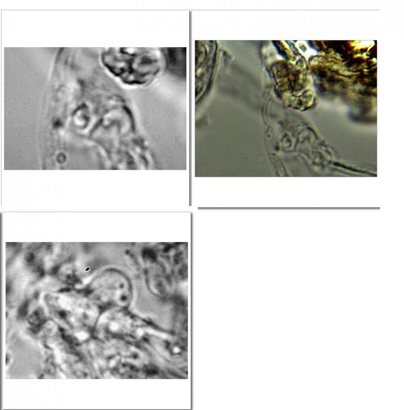
Glew David,
28-07-2019 12:19
Thank you for accepting me to the site.
I am a newbie to fungal microscopy and am trying to learn the difference between Hymenoscyphus fraxineus and H. albidinus in the UK.
I know that identification of croziers confirms Hymenoscyphus fraxineus, but would appreciate any advice to check I'm looking at the right thing! This is my first attempt and the sample was poor, but I'll try again. Thank you. David
Hans-Otto Baral,
28-07-2019 20:42
Re : Advice on croziers in Hymenoscyphus fraxineus
Hi Devid!
welcome here in the forum. Your figure is clear enough to see the cozier. especially your third poic shows it clearly. The ascus base thereby is on the right.
H. albidus will be difficult to find. Best is to take old herbarium material collected before the invasion.
good luck anyway!
Zotto
welcome here in the forum. Your figure is clear enough to see the cozier. especially your third poic shows it clearly. The ascus base thereby is on the right.
H. albidus will be difficult to find. Best is to take old herbarium material collected before the invasion.
good luck anyway!
Zotto
Glew David,
28-07-2019 20:56
Re : Advice on croziers in Hymenoscyphus fraxineus
Zotto
Thank you very much - it's very helpful to know that I'm searching for the right appearance!.
Best wishes
David
