09-03-2019 18:40
Riet van Oosten
Hello, Found by Laurens van der Linde, on Berberi
11-03-2019 14:01
Mer mandan el material seco desde Galicia, en hoja
10-03-2019 19:48
We have found this on deciduous wood, probably F
10-03-2019 21:47
Blasco Rafael
Hola, que les parece que puede ser, estaba pensand
10-03-2019 10:25
Blasco Rafael
Hola, necesito de su ayuda para poder ver el nombr
09-03-2019 21:26
Hello together, does anyone know this fungus? In
09-03-2019 18:18
Andgelo Mombert
Bonsoir, Sur branche morte de Corylus, en compagn
Trichopeziza ?
Ethan Crenson,
05-03-2019 05:12
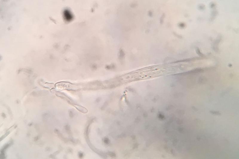
I found this tiny discomycete in New York City park on decorticated hardwood and I think it might be Trichopeziza. Each fruiting body is less than 1mm in diameter. The hymenium is orange-yellow, the outside is clad in brown hairs which become lighter near the margin. Microscopically the hairs are encrusted at the tips and measure about 4µm in diameter. The spores are about 10-15 by 3-3.5µm. I don't have measurements of the asci yet, but they appear to be IKI-. Any ideas with the information I have provided so far?
Thanks as always,
Ethan
Hans-Otto Baral,
05-03-2019 06:54
Re : Trichopeziza ?
Hi Ethan
you sent images of this species last year:
http://www.ascofrance.com/search_forum/55409
Is the present on again from Central Park? The last one was on Robinia, afger the wood anatomy.
Paraphyses are warted and asci should be IKI- and without croziers.
Let me know the data please.
Zotto
you sent images of this species last year:
http://www.ascofrance.com/search_forum/55409
Is the present on again from Central Park? The last one was on Robinia, afger the wood anatomy.
Paraphyses are warted and asci should be IKI- and without croziers.
Let me know the data please.
Zotto
Ethan Crenson,
05-03-2019 06:56
Re : Trichopeziza ?
Ah! so it is also close to T. perrotioides. I wasn't quite sure. I will get more data tomorrow.
Ethan Crenson,
06-03-2019 17:03
Re : Trichopeziza ?
I had a better look at the Trichopeziza. Paraphyses are roughened at the ends. Asci are IKI-. Croziers? I think not, but please have a look at the photo. The collection was made in Brooklyn's Prospect Park. I am not certain of the substrate. It was a decorticated branch of hardwood lying on the ground among Quercus, Liquidambar, Fraxinus and Prunus.
Hans-Otto Baral,
06-03-2019 18:01
Re : Trichopeziza ?
Yes, this is cr -.
If you send me a photo of the cross section of the wood I will try to identify.
If you send me a photo of the cross section of the wood I will try to identify.
Hans-Otto Baral,
06-03-2019 21:40
Re : Trichopeziza ?
Ah, the wood seems to be hard and difficult to cut. The pores are not visible. I assume a razor blade will strongly suffer. It looks to me a bit like Fraxinus, but to clarify needs some tricks. Perhaps you can try with breakin to get a clear image of the pores?
Ethan Crenson,
06-03-2019 22:36
Re : Trichopeziza ?
The branch is too thick to break. This cut was done with a power saw, so perhaps that obliterated some of the features that you need to see. I'll see what else can be done.
Hans-Otto Baral,
06-03-2019 22:48
Re : Trichopeziza ?
Yes, a saw gives a bad image. I recommend to split the wood with a knife longitudinally. Then you have thinner pieces and you can try to break them.
Hans-Otto Baral,
06-03-2019 23:33
Re : Trichopeziza ?
This is good! It excludes Fraxinus and Quercus.
Prunus is also not very probable, but Liquidambar seems to fit:
https://www.wsl.ch/dendropro/xylemdb/index.php?TEXTID=875&MOD=1
Prunus is also not very probable, but Liquidambar seems to fit:
https://www.wsl.ch/dendropro/xylemdb/index.php?TEXTID=875&MOD=1
Hans-Otto Baral,
09-03-2019 09:06
Re : Trichopeziza ?
Hi Ethan
could you please tell me the collection date? Then I could cite this colection in my MS.
I suppose it was a fallen branch.
ThanksZotto
could you please tell me the collection date? Then I could cite this colection in my MS.
I suppose it was a fallen branch.
ThanksZotto
Ethan Crenson,
11-03-2019 20:46
Re : Trichopeziza ?
The collection date was March 3, 2019. Location in Prospect Park Brooklyn just north of the Audubon Center/Boathouse. (approximate coordinates Latitude:N 40° 39' 43.2" Longitude:W 73° 57' 57.6"). The branch was lying on the ground. It had snowed a few days previous, so there was snow cover on the ground as well.
Hans-Otto Baral,
11-03-2019 22:10
Re : Trichopeziza ?
Thanks, so I will take the substrate as Liquidambar.














