06-04-2026 21:36
Viktorie Halasu
Hello, could anyone please send me the article wi
06-04-2026 19:40
Help with this one much appreciated, on rotting Fa
06-04-2026 11:07
Louis DENYBonjour forum, Trouvé sur bois de feuillu très d
06-04-2026 16:24
Juuso ÄikäsLast Tuesday I found some tiny white Helotiales gr
05-04-2026 20:40
Robin Isaksson
Hi!Found i Japan on bark of Abies sp. Spores 35-4
06-04-2026 08:15
Lothar Krieglsteiner
some days ago, on the lower surface of leaf of Que
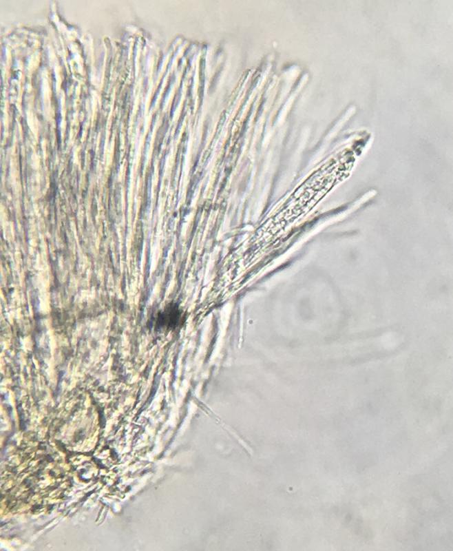
In New York City this weekend I found what I think is Arachnopeziza delicatula. The fruiting bodies are very small, the largest approximately 1.3mm. They are white when young, the hymenium becoming dull orange with age. They are surrounded by a sparse white subiculum. The substrate is well rotted hardwood, probably Quercus.
Asci 75-104 by 8.7-12.4µm. Some are rather pointed at the tip others more rounded (but I only noticed these after I applied a lot of pressure to the cover slip), IKI+
Spores hyaline, borne parallel in the asci, long and slender slightly thinner at one end, mostly 3-septate, up to 6-septate. (31-)37-49.5(-56.9)µm by 2.5-3.7µm.
Hairs septate, hyaline, with a bulbous base measuring about 7.5µm wide. Hairs tapering upward but at times with a swollen tip measuring about 5µm wide.
Paraphyses filiform, infrequently branched, septate, the tips sometimes deformed or swollen, but mostly not. Not more than 2µm wide at the tip.
Using Korf's Monograph of the Arachnopezizeae (1951) I arrived at Arachnopeziza delicatula based mostly on spore size and septation. The spores of my collection are shorter than Korf cites for A. aurata, but a little bit on the large side for A. delicatula. A. aurata seems to be more frequently collected in my area, but perhaps there is some confusion between A delicatula an A. aurata. Any opinions on this would be appreciated.
Thanks in advance.
Ethan
I can't rule out the existense of A. delicatula completely, but no sign of it yet. I think Zotto has a folder called "delicatula"...what ever that means :-).
cheers,
Timo
I see the problem, but I think that when you restrict the spore analysis on mature spores (freshly ejected), you will have in A. aurata mainly 7-septate spores and in A. delicatula mainly 3-septate. The total absence of 7-septate spores in delicatula collections supports this.
Timo, did you ever find A. aurata on conifers? My folder delicatula is purely cpnifericolous, if I did not overlook something, and in my database on A. aurata is purely on angiosperm hosts.
Now, your, Ethan's, collection is obviously on an angiosperm, the wood surface looks so. I have no experience with American collections.
Ichecked available sequences and find that it is rather confusing. Above all, there does not seem to exist a sequence of a typical European A. aurata! ITS tree attached here.
A. delicatula is only present with one Japanese strain. Florian Prell's A. aurata is very distant, and I do not have a docu of it. But I have a folder that I call "aurata Ulex", it was previously "ulicis" in the Parachnopeziza folder.
Timo, do you have an ITS sequence and where does it cluster?
Zotto
Timo
I have checked in CBS by querying for his sequence and got 100% A. aurata from France, F. Mangenot (without location and eco-datam CBS 116.54), of which only LSU exists in the GenBank. So there's some sense in Florian's find and sequence!
In addition, I have overlooked two unpublished sequences of us. One is again this "ulicis" on Ulex wood, which falls to the American aurata and which I considered a Parachnopeziza when studied.
The other is A. aurata from Luxembourg, on Carpinus wood, which falls 100% to FP155.
I had not considered that a ITS few sequences are quite incomplete and cause extreme distances in the tree under Neighbor-joining.
Therefore, I have now calculated a tree with maximum likelihood and the result is attached. Also I calculated a tree which includes only 5.8S and ITS2, which contains only complete sequences and run under NJ.
This means that Japanese and American A. aurata do not seem to be true A. aurata.
Now Timo, it would really be interesting to include your sequences in the alignment. I would send the alignment to you if you want to check.
Zotto















Arachnopezizeae-Durella-ITS-11.2018-0001.jpg