06-04-2026 21:36
Viktorie Halasu
Hello, could anyone please send me the article wi
06-04-2026 19:40
Help with this one much appreciated, on rotting Fa
06-04-2026 11:07
Louis DENYBonjour forum, Trouvé sur bois de feuillu très d
06-04-2026 16:24
Juuso ÄikäsLast Tuesday I found some tiny white Helotiales gr
05-04-2026 20:40
Robin Isaksson
Hi!Found i Japan on bark of Abies sp. Spores 35-4
06-04-2026 08:15
Lothar Krieglsteiner
some days ago, on the lower surface of leaf of Que
Hi there!Could this be Peziza cerea? Substratum is strange. For P. varia paraphyses do not fit. For other Peziza of similar color (which I was able to find descriptions) spores seem do not fit.
Habitat: mixed wood edge; mountain trail side with Fagus sylvatica, Ostrya carpinifolia and Fraxinus ornus in the vicinity; rocky place, slightly inclined mountain slope, east aspect; in shade; relatively warm place; calcareous, skeletal ground; partly protected from direct rain by tree canopy; average precipitations ~ 3.000 mm/year, average temperature 7-9 deg C, elevation 585 m, alpine phytogeographical region.
Substratum: on moss covered solid limestone rock with a thin layer of humus beneath the moss (mass can easily be 'peeled off' the rock). No buried wood found in the vicinity except eventually some very thin roots less than 1 mm thick.
Place; Lower Trenta valley, between villages So?a and Trenta, near Skokar farm house (Trenta 2); East Julian Alps; Poso?je, Slovenia EC. Lat: 46,360270, Long: 13,703867, elevation 585 m.
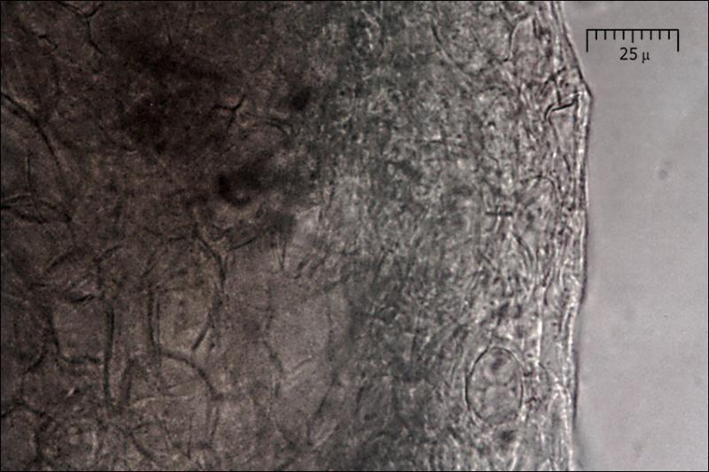
Spores: (14.2) 14.5 - 15.9 (16.3) × (7) 7.3 - 8 (8.2) µm; Q = (1.8) 1.9 - 2.2 (2.3); N = 28; Me = 15.2 × 7.6 µm; Qe = 2. Some spores seem to be very slightly punctuated (not visible on the spore picture). When observed slightly out of focus they show two oil drops.
Asci: (239.7) 242.8 - 296.7 (298.1) × (11.5) 13.7 - 16.6 (20.2) µm; Q = (11.9) 14.6 - 21.7 (23.5); N = 14; Me = 269.2 × 14.7 µm; Qe = 18.7.
Paraphyses: diameter: (3.9) 3.93 - 4.7 (5) µm; Me = 4.3 µm; diameter at the tip: (5.5) 6 - 7.3 (7.9); Me = 6.6 µm.
Growing solitary. Sporocarp's dimensions: 4 x 3.5 cm, h = 3 cm; in the field inner and outer surface nearly of the same color, after 2 days in half dry state inner surface darker, reddish-brown and outer side lighter, whitish-grayish; hymenium near the edge consisted of almost only paraphyses with some not yet mature asci and in the center of the sporocarp almost only asci with few paraphyses; taste indistinctive, mildly mushroomy; smell: almost none, lightly on earth, rotten leaves??
Many thanks for your time and help.
Sincerely
Amadej Trnkoczy















