06-04-2026 21:36
Viktorie Halasu
Hello, could anyone please send me the article wi
06-04-2026 19:40
Help with this one much appreciated, on rotting Fa
06-04-2026 11:07
Louis DENYBonjour forum, Trouvé sur bois de feuillu très d
06-04-2026 16:24
Juuso ÄikäsLast Tuesday I found some tiny white Helotiales gr
05-04-2026 20:40
Robin Isaksson
Hi!Found i Japan on bark of Abies sp. Spores 35-4
06-04-2026 08:15
Lothar Krieglsteiner
some days ago, on the lower surface of leaf of Que
Hymenoscyphus?
Ueli Graf,
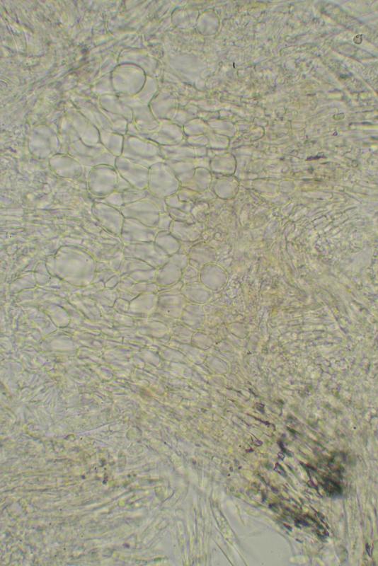
02-12-2018 18:14
Hymenoscyphus oder Phaeohelotium auf einem Laubholzast gefunden.Sp. wenig Oel 10.5 - 13 x 3.5 - 4.5 mü
Asci IKI+ mit Haken 80 - 90 x 8 - 9.5 mü
Kann jemand helfen?
Gruss
Ueli
Andreas Gminder,
03-12-2018 23:25
Re : Hymenoscyphus?
Hallo Ueli,
sehr nass gelegen?
Hast Du mal einen Schnitt durch das ganze Apothezium gemacht und in Lugol geschaut, ob es eine amyloide Zone am Stiel-Kupula-Übergang gibt? -> H. imberbis agg.
beste Grüße
Andreas
Ueli Graf,
04-12-2018 21:53
Hans-Otto Baral,
04-12-2018 22:15
Re : Hymenoscyphus?
H. imberbis ist in der tat eine Möglichkeit, ich hielt das aber wegen des eher Calycina-artigen Apikalrings für unwahrscheinlich.
Zotto
Zotto
Ueli Graf,
04-12-2018 22:42
Re : Hymenoscyphus?
Hallo Zotto und Andreas,
besten Dank für eure Hilfe.
Ich denke die Richtung stimmt. Wenn ich den wieder mal finde muss ich genau schauen, wegen der amyloiden Zone an der Stielbasis.
Liebe Grüsse
Ueli









