06-04-2026 21:36
Viktorie Halasu
Hello, could anyone please send me the article wi
06-04-2026 19:40
Help with this one much appreciated, on rotting Fa
06-04-2026 11:07
Louis DENYBonjour forum, Trouvé sur bois de feuillu très d
06-04-2026 16:24
Juuso ÄikäsLast Tuesday I found some tiny white Helotiales gr
05-04-2026 20:40
Robin Isaksson
Hi!Found i Japan on bark of Abies sp. Spores 35-4
06-04-2026 08:15
Lothar Krieglsteiner
some days ago, on the lower surface of leaf of Que
Octospora on Bryum rubens agg.
Georges Greiff,
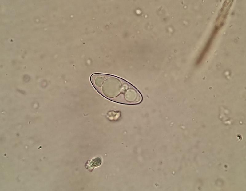
07-12-2018 20:28
Hi there,
I wanted to check this recent find of possible Octospora coccinea found on the moss Bryum rubens.
Apothecia orange, < 2.5mm, margins not differentiated. Asci 8-spored, 127.40 x 16.12. Paraphyses 4.0 wide, 5.2 at bulging tips, orange pigment. Ascospores hyaline, guttulate, 23.50 x 11.20 approx, measured in water.
Thanks,
Georges
Zuzana Sochorová (Egertová),
07-12-2018 20:40
Re : Octospora on Bryum rubens agg.
Hi Georges,
I think your find is Octospora cf. gemmicola. O. coccinea should have longer spores with 2 larger and 2 smaller guttules. Best regards, Zuzana
I think your find is Octospora cf. gemmicola. O. coccinea should have longer spores with 2 larger and 2 smaller guttules. Best regards, Zuzana
Rubén Martínez-Gil,
07-12-2018 20:46
Re : Octospora on Bryum rubens agg.
Hola Georges.
No, yo creo que no es O. coccinea. Esta especie tiene esporas más largas y más estrechas que su recolecta.
También hay que fijarse en las gútulas del interior, que normalmente son 2 más grandes y 2 más pequeñas hacia los extremos.
Su recolecta podría ser cercana a Octospora gemmicola Benkert.
Adjunto foto de esporas de O. coccinea.
Saludos
Rubén
Georges Greiff,
07-12-2018 21:02
Re : Octospora on Bryum rubens agg.
Thanks both. Looks good for O. gemmicola - I did not see very conspicuous margins but perhaps the collection was too young. This might be a new record for Britain so I will send it for confirmation.
Thanks again




