06-04-2026 21:36
Viktorie Halasu
Hello, could anyone please send me the article wi
06-04-2026 19:40
Help with this one much appreciated, on rotting Fa
06-04-2026 11:07
Louis DENYBonjour forum, Trouvé sur bois de feuillu très d
06-04-2026 16:24
Juuso ÄikäsLast Tuesday I found some tiny white Helotiales gr
05-04-2026 20:40
Robin Isaksson
Hi!Found i Japan on bark of Abies sp. Spores 35-4
06-04-2026 08:15
Lothar Krieglsteiner
some days ago, on the lower surface of leaf of Que
Fungus in/on lichen Lecanora sp.?
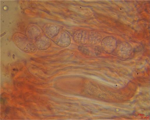
William Slosse,
27-11-2019 22:12
Hello,a few days ago I took pictures of some lichen growing on old cement tiles in the garden.It seems to be Lecanora campestris.
Today I looked back at the picture and in de right upper corner I discovered some very tiny orange coloured fungal structures.
I went immediately looking for some fresh material and looking through the microscope I was surprised to see asci, spores and paraphyses!
Asci with 6 to 8 quite large spores;
Paraphyse slender, septated, branched
I can't find a starting point in Ellis & Ellis.
Is there some who recognises the species?
Many thanks in advance.
William
Hans-Otto Baral,
27-11-2019 22:39
Re : Fungus in/on lichen Lecanora sp.?
A Caloplaca?
William Slosse,
27-11-2019 23:37
Re : Fungus in/on lichen Lecanora sp.?
Thx, Zotto.
Seems to be the correct genus.
I found, based on your suggestion, a nice french site whitch confirmed the genus.
Seems to be the correct genus.
I found, based on your suggestion, a nice french site whitch confirmed the genus.










