06-04-2026 21:36
Viktorie Halasu
Hello, could anyone please send me the article wi
06-04-2026 19:40
Help with this one much appreciated, on rotting Fa
06-04-2026 11:07
Louis DENYBonjour forum, Trouvé sur bois de feuillu très d
06-04-2026 16:24
Juuso ÄikäsLast Tuesday I found some tiny white Helotiales gr
05-04-2026 20:40
Robin Isaksson
Hi!Found i Japan on bark of Abies sp. Spores 35-4
06-04-2026 08:15
Lothar Krieglsteiner
some days ago, on the lower surface of leaf of Que
over-mature Propolis farinosa?
Ethan Crenson,
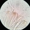
05-02-2020 22:22
Earlier this week I found this orange erumpent asco on bare hardwood which I thought might be Coccomyces or Colpoma. But microscopically it resembled Propolis sp. Spores are 23-29 x 7.5-8µm. Asci IKI-. The paraphyses branch toward the tips. It was quite confusing until I discovered the discussion between Jonathan M and Zotto here http://www.ascofrance.fr/search_forum/48605.
/>Perhaps my collection is also Propolis farinosa?
Ethan
Hans-Otto Baral,
05-02-2020 22:28
Re : over-mature Propolis farinosa?
Looks to me so. Did you compare my key on my homepage?
Ethan Crenson,
05-02-2020 22:36
Re : over-mature Propolis farinosa?
I did look at the key in:
Key to the genera Phragmiticola, Propolidium, Propolis (= Propolomyces) and Mellitiosporiella, the broad-spored taxa of propoloid fungi (Marthamycetaceae)
H.O. Baral, Jan. 2015
It did key out to P. farinosa.
Hans-Otto Baral,
05-02-2020 23:17
Re : over-mature Propolis farinosa?
Good







