08-04-2026 10:39
FRANCIS FOUCHIERBonjour , je recherche en pdf cet article: KORF R
06-04-2026 21:36
Viktorie Halasu
Hello, could anyone please send me the article wi
06-04-2026 19:40
Help with this one much appreciated, on rotting Fa
06-04-2026 11:07
Louis DENYBonjour forum, Trouvé sur bois de feuillu très d
06-04-2026 16:24
Juuso ÄikäsLast Tuesday I found some tiny white Helotiales gr
05-04-2026 20:40
Robin Isaksson
Hi!Found i Japan on bark of Abies sp. Spores 35-4
Lichen s/Fraxinus
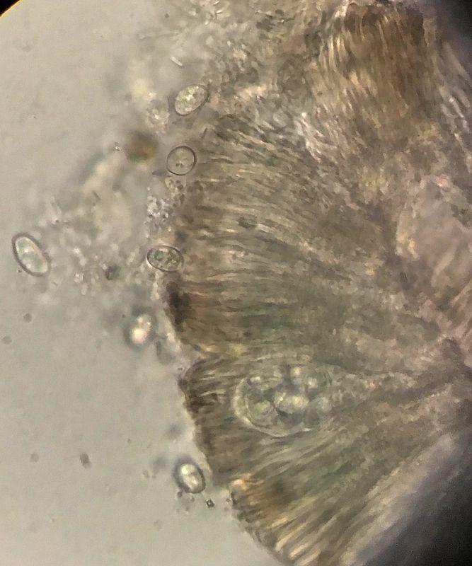
Luc Bailly,
23-02-2020 19:43
Lichen s/branche de Fraxinus excelsior, plaques gris-vert avec apothécies noires, sessiles, -> 1 cm, en groupe. Marge en bourrelet.
Asques 8-sp, pas encore très mûrs, hyalins, croz-, IKI+++.
Spores elliptiques, parfois courtement, hyalines, très guttulées (huile=4-5), 9-12.5 x 6.5-8.5 µ
Paraphyses cylindriques, x 1.8-2µ, hyalines à brunâtres vers le sommet, noyées dans du gélin.
Excipulum ectal brun foncé, sous-hymenium brun pâle, marge en bourrelet noirâtre avec hyphes renflées au sommet.
Aucune idée, et surtout, je manque de documentation.
Alain GARDIENNET,
23-02-2020 19:52
Re : Lichen s/Fraxinus
Lecidella eleachoroma probablement. Très courant.
Luc Bailly,
23-02-2020 19:54
Re : Lichen s/Fraxinus
Merci Alain. Oui, fréquent, mais quand il n'y a pas encore des masses à passer au microscope...













