08-04-2026 20:33
Found 07-04-26, in Abies cephalonica. Diameter 1,
08-04-2026 10:39
FRANCIS FOUCHIERBonjour , je recherche en pdf cet article: KORF R
06-04-2026 21:36
Viktorie Halasu
Hello, could anyone please send me the article wi
06-04-2026 19:40
Help with this one much appreciated, on rotting Fa
06-04-2026 11:07
Louis DENYBonjour forum, Trouvé sur bois de feuillu très d
06-04-2026 16:24
Juuso ÄikäsLast Tuesday I found some tiny white Helotiales gr
Polysporous black discomycete
Ethan Crenson,
25-02-2020 05:19
Hello all,
I was in California and found this small black polysporous asco. Macroscopically it looks quite a bit like Patellaria atrata, though the apothecia are a little bit smaller. It has bitunicate asci with (estimating) 32, or maybe 64 ascospores inside? The ascospores are small, hyaline, fusiform-ellipsoid, measuring 3-4 x 1.5µm. Asci IKI-. The dark (glutinous?) material among the asci and paraphyses does not dissipate in KOH. Is it lichenized? I'm not sure. Any help would be appreciated.
Thank you,
Ethan
James Mitchell,
25-02-2020 06:09
Re : Polysporous black discomycete
Guy Marson,
25-02-2020 07:39
Re : Polysporous black discomycete
Hi Ethan,
I guess you found it on Pinus edulis in a mountainous part of California?
IMO James is right, it is a Symbiothaprina sp. (former Tromeropsis).
Your find worth a barcoding.
Best regards,
Guy
I guess you found it on Pinus edulis in a mountainous part of California?
IMO James is right, it is a Symbiothaprina sp. (former Tromeropsis).
Your find worth a barcoding.
Best regards,
Guy
Hans-Otto Baral,
25-02-2020 07:57
Re : Polysporous black discomycete
It could be S. microtheca (formerly Tromeropsis microtheca). Did you measure the living asci? I guess a spore number of 64.
The species occurs on both hard- and softwood but mainly on softwood. I guess yours was a conifer? Would possibly be the first record for America, but we know very similar species from there.
Here is our paper. If you don't have access I will send you:
Baral, H.O.; Weber, E.; Marson, G.; Quijada, L. (2017a) [2018]. A new connection between wood saprobism and beetle endosymbiosis: the rarely reported saprobic discomycete Tromeropsis is congeneric with the symbiotic yeast Symbiotaphrina (Symbiotaphrinales, Xylonomycetes) and two asexual morphs misplaced in Hyphozyma. – Mycol. Progr. 17: 215–254. https://doi 10.1007/s11557-017-1340-y
Zotto
Ethan Crenson,
25-02-2020 16:55
Re : Polysporous black discomycete
Many thanks to all,
I made this collection in a fairly mountainous part of California. It was by the North Fork of the American river near Auburn, CA which has an altitude of about 374m. This isn't the exact location of the collection, but it is close: shorturl.at/kmLN8, and it gives you an idea of the environment. I can't precisely identify the substrate, but I think it is possible that it's Quercus agrifolia, based on the leaves around the collection area.... then again, now that I look closer there are needles of conifers as well (Pinus ponderosa?).
Thank you for directing me to the paper, which I acquired. I may have an opportunity to barcode this collection and if I do I will notify you all of the results. And I'll have another look at the living asci.
Thanks again!
Ethan
Hans-Otto Baral,
25-02-2020 17:03
Re : Polysporous black discomycete
You can easily check by looking at a crosscut, even with a handlens. Conifers are easily recognized by the absence of larger pores, and in tangential section you cen even identify Pinus against other conifers by the pits where radial rays and vessels cross.
Ethan Crenson,
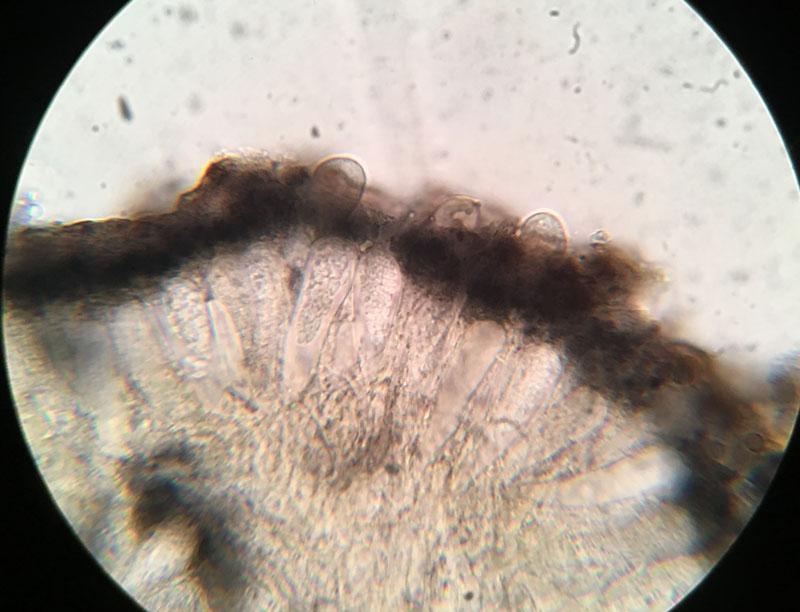
31-03-2020 17:51
Re : Polysporous black discomycete
I am returning to this collection from California now that I have more time. I made more precise measurements of the asci which are 38-48.5 x 10-12.5µm. Using the key I arrive at S. microtheca, though I would like to now get better spore measurements to be certain.
I also am including here images of a crosscut of the branch. Without much experience in this type of wood identification, I can't say much. But I think the pores are pretty uniformly small. There are faint radial rays.
Attempts to culture the collection have failed so far, so a barcode may be impossible. I don't have many apothecia left. Advice is welcome. Perhaps the culturing medium is incorrect (MEA), or some there is another technique I'm missing out on.
Ethan
Hans-Otto Baral,
31-03-2020 18:25
Re : Polysporous black discomycete
Hi Ethan
good that you still find livina asci.
The wood is clearly coniferous, visible at the third photo.
Zotto


















