08-04-2026 10:39
FRANCIS FOUCHIERBonjour , je recherche en pdf cet article: KORF R
06-04-2026 21:36
Viktorie Halasu
Hello, could anyone please send me the article wi
06-04-2026 19:40
Help with this one much appreciated, on rotting Fa
06-04-2026 11:07
Louis DENYBonjour forum, Trouvé sur bois de feuillu très d
06-04-2026 16:24
Juuso ÄikäsLast Tuesday I found some tiny white Helotiales gr
05-04-2026 20:40
Robin Isaksson
Hi!Found i Japan on bark of Abies sp. Spores 35-4
Psilachnum lateritioalbum ?
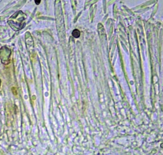
jean claude chasle,
06-03-2020 10:31
Bonjour,
Récolte sur feuille de poacée en décomposition (Elytrigia probable), 0.3-0.5 mm, blanche à marge fimbriée.
Asques : 32-38 / 3.6-5.3 avec guttule
Ascospores : (7.8) 8.5 – 10 (10.5) /1.6-2.2 ; Q= 4-6 ; n=50
IKI b ; Cr –
Merci pour vos avis
Jean Claude
Hans-Otto Baral,
06-03-2020 10:40
Re : Psilachnum lateritioalbum ?
Hi Jean-Claude
yes it is, no doubt. Good docu!
Zotto
jean claude chasle,
06-03-2020 10:44
Re : Psilachnum lateritioalbum ?
Bonjour Zotto
Merci beaucoup, bonne journée!
Jean Claude
Kosonen Timo,
06-03-2020 10:53
Re : Psilachnum lateritioalbum ?
Hello!
As lateritioalbum is the type of the genus and no sequence exists (?), I'd be more than willing to do the labwork. What's the status of the sample?
bw
Timo
As lateritioalbum is the type of the genus and no sequence exists (?), I'd be more than willing to do the labwork. What's the status of the sample?
bw
Timo
jean claude chasle,
06-03-2020 11:16
Re : Psilachnum lateritioalbum ?
Hello,
I have some dry and fresh samples left.
It is with pleasure that I can send it to you if you give me an address
I have some dry and fresh samples left.
It is with pleasure that I can send it to you if you give me an address
best regards
Jean Claude
Kosonen Timo,
06-03-2020 11:18
Re : Psilachnum lateritioalbum ?
Great, I'll send you more info via email. Fresh material would be wonderful.
Timo
Timo







