08-04-2026 20:33
Found 07-04-26, in Abies cephalonica. Diameter 1,
08-04-2026 10:39
FRANCIS FOUCHIERBonjour , je recherche en pdf cet article: KORF R
06-04-2026 21:36
Viktorie Halasu
Hello, could anyone please send me the article wi
06-04-2026 19:40
Help with this one much appreciated, on rotting Fa
06-04-2026 11:07
Louis DENYBonjour forum, Trouvé sur bois de feuillu très d
06-04-2026 16:24
Juuso ÄikäsLast Tuesday I found some tiny white Helotiales gr
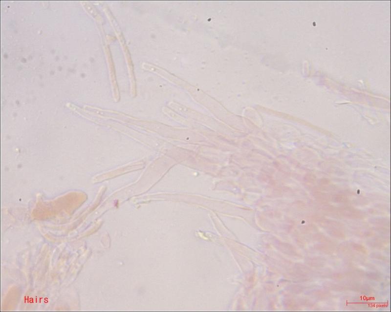
Dear Forum,on 12/03/20 I found this asco on a decorticated branch of Pinus nigra lying on litter.
I thought this could be Hyaloscypha leuconica.
Right?
Apothetia: white; up to 0.4mm; sitting loosely on the substrate; gregariously
Spores: fusiform; with a few drops; Av 9.05x2.93; Qav = 3.05
Asci: 8-spored; with croziers; weakly J+
Paraphyses: filiform & septated
Hairs: hyaline; sharp & no septa
Regards,
William











