08-04-2026 20:33
Found 07-04-26, in Abies cephalonica. Diameter 1,
08-04-2026 10:39
FRANCIS FOUCHIERBonjour , je recherche en pdf cet article: KORF R
06-04-2026 21:36
Viktorie Halasu
Hello, could anyone please send me the article wi
06-04-2026 19:40
Help with this one much appreciated, on rotting Fa
06-04-2026 11:07
Louis DENYBonjour forum, Trouvé sur bois de feuillu très d
06-04-2026 16:24
Juuso ÄikäsLast Tuesday I found some tiny white Helotiales gr
Helicogonium (?) on Olla transiens
Andgelo Mombert,
19-03-2020 11:36

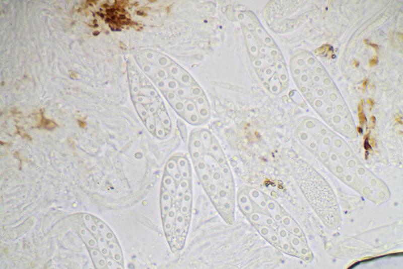
Bonjour,
Sur Olla transiens.
Ascospores : 6,5-8 x 3-3,7 µm.
Asques : 30-35 x 6,5-10 µm, octosporés, à sommet non amyloïde, sans crochet.
Merci d'avance pour votre aide.
Andgelo
Hans-Otto Baral,
19-03-2020 11:43
Re : Helicogonium (?) on Olla transiens
For sure it is! So not genetics but the parasite confirm a relationship of transiens with Olla :-)
Andgelo Mombert,
19-03-2020 11:47
Re : Helicogonium (?) on Olla transiens
Merci. Donc on distingue les Helicogonium avec l'ADN seulement ?
Andgelo
Hans-Otto Baral,
20-03-2020 07:46
Re : Helicogonium (?) on Olla transiens
What is ADN?
Did you see an apothecium which contains both types of asci here?
Did you see an apothecium which contains both types of asci here?
Andgelo Mombert,
20-03-2020 13:14
Re : Helicogonium (?) on Olla transiens
Bonjour,
ADN est la traduction francaise de DNA.
J'ai vu qu'un seul type d'asque, mais je n'ai fait qu'une seule préparation.

