08-04-2026 20:33
Found 07-04-26, in Abies cephalonica. Diameter 1,
08-04-2026 10:39
FRANCIS FOUCHIERBonjour , je recherche en pdf cet article: KORF R
06-04-2026 21:36
Viktorie Halasu
Hello, could anyone please send me the article wi
06-04-2026 19:40
Help with this one much appreciated, on rotting Fa
06-04-2026 11:07
Louis DENYBonjour forum, Trouvé sur bois de feuillu très d
06-04-2026 16:24
Juuso ÄikäsLast Tuesday I found some tiny white Helotiales gr
Lichenicolous on Physcia
Lepista Zacarias,
10-04-2020 19:11
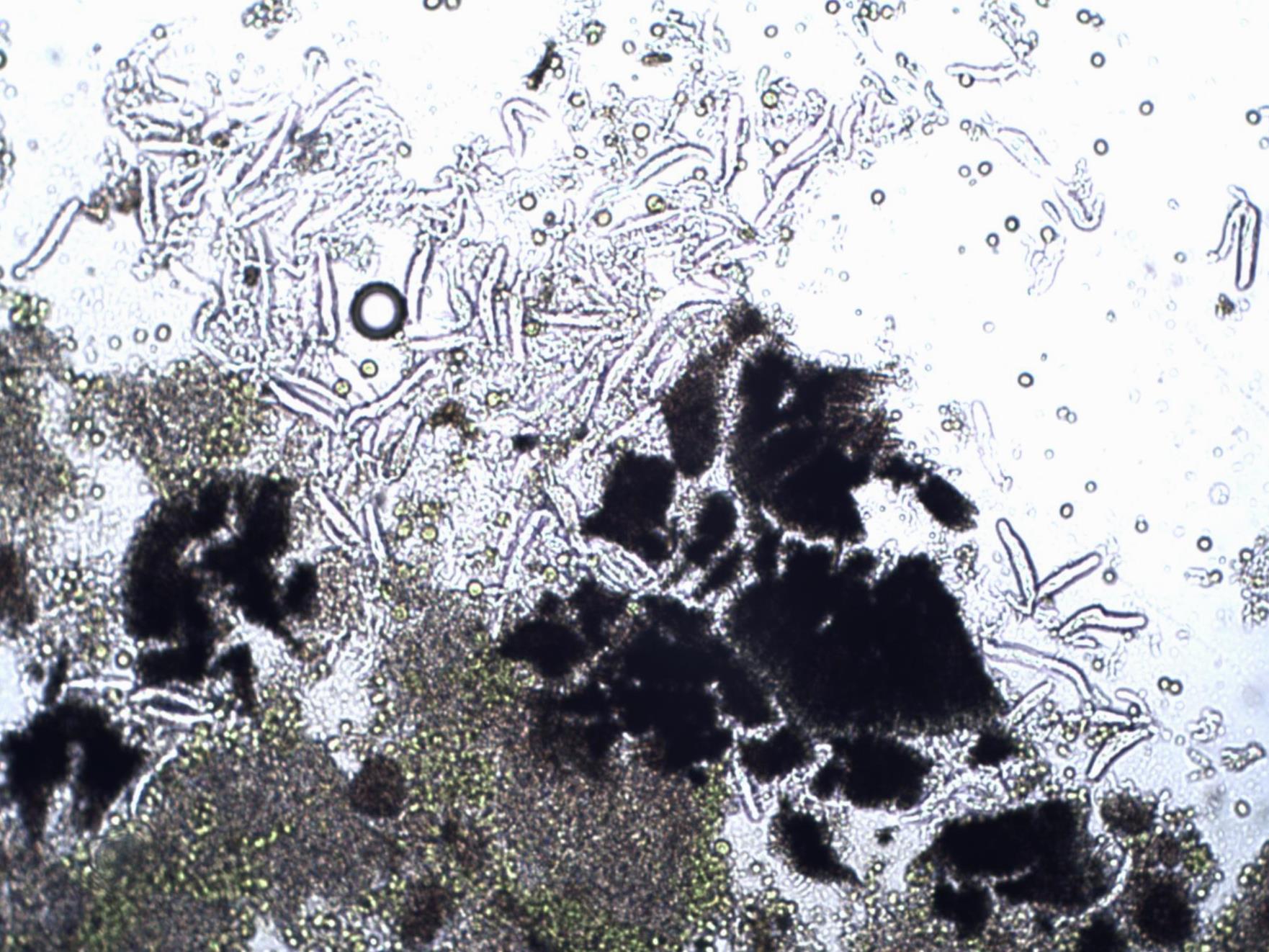
I would like to have your help in the identification of the lichenicolous lichen growing on a Physcia appearing in the attached photos.
I also attached photos from the microscpy. The spores are hyaline, guttulate, and mostly simple; some appear to have some central septum, being sligtly constrited there, with dimensions: 15.7 - 20.2 × 4.5 - 5.5 µm.
Thanks in advance,
zaca
Alain GARDIENNET,
10-04-2020 21:32
Re : Lichenicolous on Physcia
Hi Zaca,
Are you completly sure that is Physcia ? Could it be other Physciaceae (Phaeophyscia, for example) ?
It would be well to have more informations (hamathecium, asci, ...).
Zwackhiomyces is perhaps a way to follow. But there are other possibilities, like Lichenochora.
Alain
Lepista Zacarias,
11-04-2020 02:05
Re : Lichenicolous on Physcia
Thank you, Alain, for the valuable comment.
I will try to improve my observation.
Best regards,
zaca
I will try to improve my observation.
Best regards,
zaca

IS10-0001.jpg
