10-04-2026 15:51
William Slosse
Hello everyone, On 08/04/26, I found a growth sit
09-04-2026 15:25
Jac GelderblomOn bare soil between mosses Ifound an asco I deter
09-04-2026 13:55
Thomas Læssøehttps://svampe.databasen.org/observations/10589176
09-04-2026 10:12
Thomas Læssøehttps://svampe.databasen.org/observations/10587061
08-04-2026 20:33
Found 07-04-26, in Abies cephalonica. Diameter 1,
08-04-2026 10:39
FRANCIS FOUCHIERBonjour , je recherche en pdf cet article: KORF R
06-04-2026 21:36
Viktorie Halasu
Hello, could anyone please send me the article wi
Hyalorbilia?
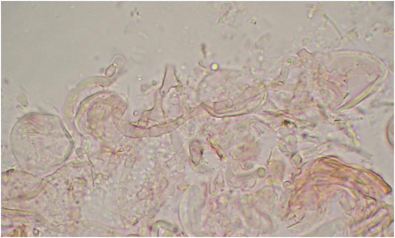
Garcia Susana,
15-07-2020 17:53
Hola,
He recogido estos apotecios en un tallo de Sambucus ebulus. Crecían en grupo. El tamaño entre 130-180um.
Las ascas son cortas, con croziers. Las esporas son muy pequeñas.
Varios apotecios llevavan asociado el anamorfo que muestro y en todos había esas celulas globosas que tambien muestro en las imagenes.
He supuesto que se trata de una Hyalorbilia, pero no la identifico. Agradecería vuestra ayuda.
Saludos
Susana
Hans-Otto Baral,
15-07-2020 18:25
Re : Hyalorbilia?
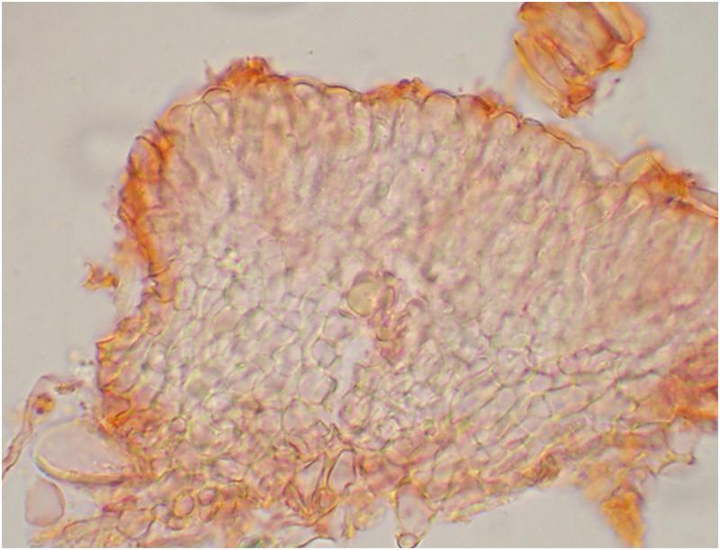
Hmm, this looks like a Hyalorbilia indeed, but since there are no living elements this is difficult to decide. The anamorph, in any case, cannot belong to Hyalorbilia because its conidiogenesis is phialidic.
You cannot try a water mount in which the spores are even the asci and paraphyses are alive?
Zotto
Garcia Susana,
15-07-2020 23:05
Re : Hyalorbilia?
Hola Zotto,
He hecho varias preparaciones pero en ninguna he conseguido ver ni paráfisis ni esporas vivas.
Otra vez será.
Muchas gracias,
Susana
Garcia Susana,
21-07-2020 13:29
Hans-Otto Baral,
21-07-2020 16:06
Re : Hyalorbilia?
I cannot remember that name, but it might have stood for what now is H. multiguttulata. This is astonishing, so we must conclude that your sample was a mixtum of two species. The other perhaps something like H. latispora. In any case, both would be unusual species.
I am sure this H. multiguttulata was another apothecium?
Garcia Susana,
22-07-2020 08:15
Hans-Otto Baral,
22-07-2020 08:49
Re : Hyalorbilia?
Hyalorbilia has a gelatinized hymenium, so the elements (asci, sometimes also spores) often cannot be separated but lose turgor due to pressure.
I am now surprized: Your last two pics show long and narrow spores reminiscent of a third species, H. juliae! How many apos did you test now? The first of the four is multiguttulata according to the added spore. The second was perhaps also H. juliae.
Garcia Susana,
22-07-2020 08:53
Re : Hyalorbilia?
La foto 1, es un apotecio de H.multigutulata
Las fotos 2,3 y 4 corresponden a un único apotecio de Hyalorbilia, posiblemente juliae
Hans-Otto Baral,
22-07-2020 10:17
Re : Hyalorbilia?
Can you perhap ssay which was the smaller more white and which the larger more yellow?
Garcia Susana,
23-07-2020 00:02
Re : Hyalorbilia?
Como no tenía claro quien era quien, he vuelto a mirar al microscopio nuevos apotecios y esto es lo que he podido comprobar y en las imagenes queda resumido lo que he visto.
- Hyalorbilia 1: Parecen ser las de mayor tamaño y más amarillentas. Posible H. latispora.
- Hyalorbilia 2: Apotecios blancos, más pequeños. H. multigutulata. Tengo la impresión de que crece sobre sustrato ennegrecido por presencia de otros ascomicetos, pero no he observado un número suficiente como para confirmarlo.
- Hyalorbilia 3: Tambien blanca y pequeña. H. judiae.
Hans-Otto Baral,
23-07-2020 09:54
Re : Hyalorbilia?
Thanks a lot, this was great! Nothing to add, except that Hyalorbilia generally shows tentencies to grow on other fungi.

















