19-03-2026 18:25
William Slosse
Good evening everyone, On 18/03/26 I found a few
19-03-2026 19:34
Hello everyone,a few days ago I collected this str
17-03-2026 10:09
François Freléchoux
Bonjour, Voici la description rapide d'un petit d
19-03-2026 17:50
Hi to everybodyThese thiny, blackish pseudothecia
18-03-2026 13:09
Khomenko Igor
I recently examined Celtis occidentalis branches
17-03-2026 19:41
Bernard CLESSE
Bonsoir à toutes et tous,Pourriez-vous m'aider à
18-03-2026 17:22
Katarina PastircakovaHi there,I'm looking for the following literature:
19-03-2026 10:56
Thomas Læssøehttps://svampe.databasen.org/observations/10505643
27-02-2026 11:21
Yannick Mourgues
Hi to all. Here is a specie that can may be relat
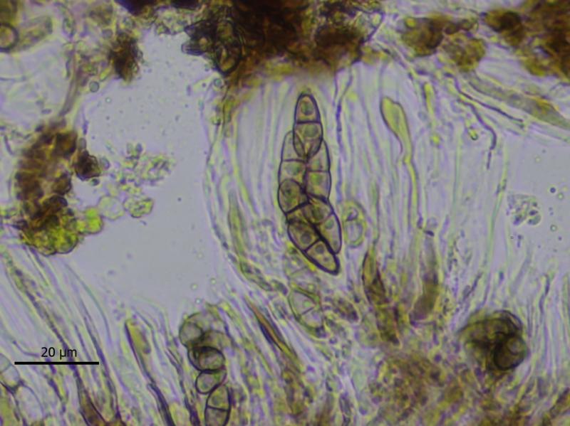
Dactylospora stygia?
Lukas Verboom,
22-10-2025 14:45
I collected this in the Netherlands, on the base of Populus on wood among grass. The ascomata are up to 0.8 mm wide. The hypothecium is brownish, unchanging in K (pictures are in water). The hamathecium reacts blue with K/I, without a blue tholus.
Spores are brown, two-celled, 15.1-16.2 x 5.0-5.6 um (N=8). I did not measure more to save material, since I don't have much of it, only a few discs.
The spores seem to be slightly broader than Dactylospora stygia, but I can't find any better suggestion. It doesn't seem to be parasitic on anything.
Can anyone help me with a name? I collected Dactylospora on bark before, but that material had four-celled spores and was smaller than this.



