09-01-2026 17:41
Arnold BüschlenHallo, F. dilatata wird von vielen Bryoparasiten
10-01-2026 20:00
Tom SchrierHi all,We found picnidia on Protoparmeliopsis mur
07-01-2026 22:22
Danny Newman
Tatraea sp. on indet. hardwood The Swag, Great Sm
10-01-2026 01:18
Danny Newman
cf. Neovaginatispora fuckelii on indet. shrub Pre
07-01-2026 10:24
Danny Newman
Pezicula sp. on indet. hardwood Appalachian Highl
09-01-2026 10:08
Blasco Rafael
Hola, en el mismo habitat que la anteriorRetamaDia
08-01-2026 21:22
Blasco Rafael
Hola, He recogido esta muestra de Orbilia sobre Re
07-01-2026 17:29
Marc Detollenaere
Dear Forum,On a barkless Populus I found some smal
10-11-2021 17:33
Riet van Oosten
Add-on topic http://www.ascofrance.com/forum/7059
07-01-2026 10:05
Danny Newman
cf. Chaetospermum on XylariaCosby Campground, Grea
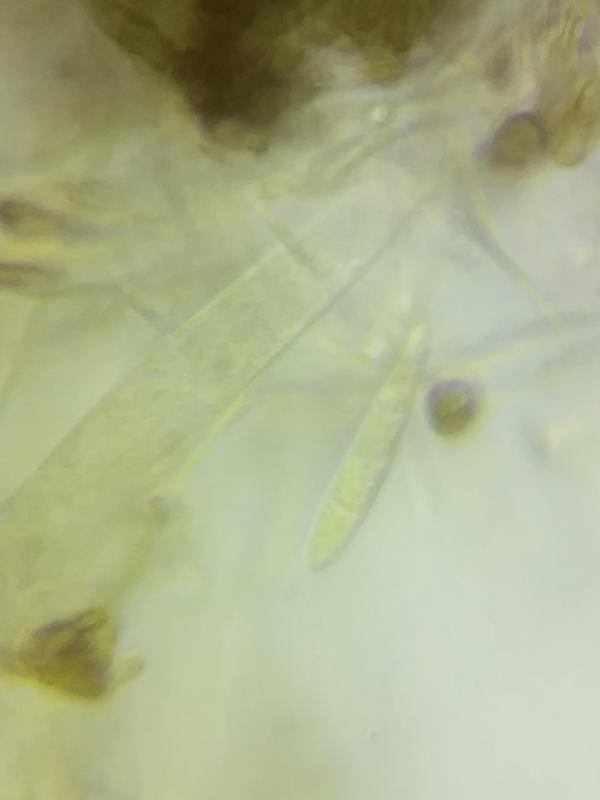
What is this found in NY state, Helotiaceae?
Garrett Taylor,
08-03-2019 02:52
Hans-Otto Baral,
08-03-2019 08:23
Re : What is this found in NY state, Helotiaceae?
This reminds me of Durella melanochlora in Europe, especially because of the paraphyses, but the spores are much too long.





