11-01-2026 20:35
Hello.A very tiny pyrenomycete sprouting sparsely
09-01-2026 17:41
Arnold BüschlenHallo, F. dilatata wird von vielen Bryoparasiten
10-01-2026 20:00
Tom SchrierHi all,We found picnidia on Protoparmeliopsis mur
07-01-2026 22:22
Danny Newman
Tatraea sp. on indet. hardwood The Swag, Great Sm
10-01-2026 01:18
Danny Newman
cf. Neovaginatispora fuckelii on indet. shrub Pre
07-01-2026 10:24
Danny Newman
Pezicula sp. on indet. hardwood Appalachian Highl
09-01-2026 10:08
Blasco Rafael
Hola, en el mismo habitat que la anteriorRetamaDia
08-01-2026 21:22
Blasco Rafael
Hola, He recogido esta muestra de Orbilia sobre Re
07-01-2026 17:29
Marc Detollenaere
Dear Forum,On a barkless Populus I found some smal
10-11-2021 17:33
Riet van Oosten
Add-on topic http://www.ascofrance.com/forum/7059
Tiny yellow cups on bark
Ethan Crenson,
08-03-2019 17:37
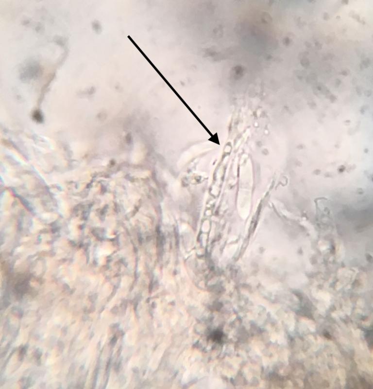
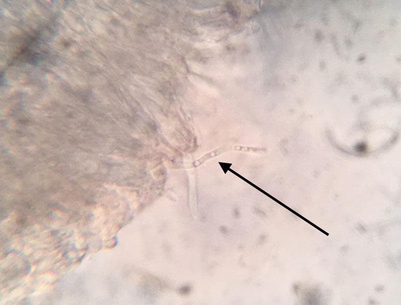
Found in New York City on the detached bark of unknown hardwood. The cups are .5 - 1.5 mm in diameter, sessile. Pale yellow when hydrated and becoming yellow-orange as they dry. The outer surface is brownish. The asci are IKI+ measuring 36-43 x 5µm. The spores are fusiform, some curved, mostly non-septate. I saw one spore, the longest I measured, that was 1-septate. Spores measure (7.5-) 9-14 (-16) x (1.5-) 2-3 µm. Cells of the ectal excipulum are brown, of textura angularis to globulosa. Medullary excipulum of textura epidermoidea to intricata. (Excipulum images are 2nd and 3rd to last. Please correct me if I'm wrong) If anyone has an idea what this is please let me know. Your input is much appreciated.
Ethan
Hans-Otto Baral,
08-03-2019 17:51
Re : Tiny yellow cups on bark
Do you have living paraphyses? Do they contain refractive vacuoles?
I suppose a Mollisia.
I suppose a Mollisia.
Ethan Crenson,
12-03-2019 17:55
Hans-Otto Baral,
12-03-2019 18:10
Re : Tiny yellow cups on bark
The arrows point to non-refractive vacuoles. between the vacuoles is refractive matter, but this might be dead cytoplasm, These cells appear to me to be in suboptimum (overmature), as seems the whole population.
















