31-03-2026 21:18
Miguel Ángel Ribes
Good evening. oes anyone have the original descrip
31-03-2026 20:57
Stefan BlaserHello everybody, I hope somebody can help me with
26-03-2026 15:31
Åke Widgren
Hello,I found this one in October last year, on r
31-03-2026 16:20
Mlcoch Patrik
Hello, Please about help with determination. On
31-03-2026 08:19
Bernard CLESSE
Bonjour à toutes et tous,Pourriez-vous m'aider à
30-03-2026 12:03
William Slosse
Hello all,On 27/03/26, in Kraaiveld in Wingene (Be
25-03-2026 10:35
Hulda Caroline HolteHello,I collected this species growing on a dead b
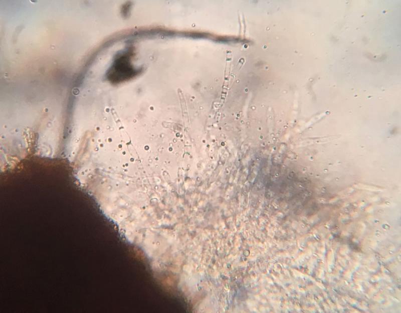
Hairy long necked pyreno
Ethan Crenson,
08-06-2019 18:07
Found last weekend on the same branch as the Orbilia I recently posted. These are very fuzzy, semi-immersed long necked (at times) pyrenomycetes. Maybe someone will help me with these. Many are almost fully immersed in the wood, showing only the end of the neck. Some, perhaps the more mature ones, show the exposed perithecia. Asci have a short stipe, 50-58 x 5.5-6.5µm. Spores are hyaline, 7-7.5 x 2.5-3µm. Although I cannot see it clearly, the shape of the spore suggests a single septum--it is slightly constricted at the middle.
Thanks!
Jacques Fournier,
08-06-2019 18:20
Re : Hairy long necked pyreno
Hi Ethan,
Barbatosphaeria barbirostris is a possible name for your fungus. Check the following references:
Re?blova? M. 2007. Barbatosphaeria gen. et comb. nov., a new genus for Calo- sphaeria barbirostris. Mycologia 99: 723–732.
Molecular systematics of Barbatosphaeria (Sordariomycetes): multigene phylogeny and secondary ITS structure
M. Re?blova?1, K. Re?blova?2, V. S?te?pa?nek3
M. Re?blova?1, K. Re?blova?2, V. S?te?pa?nek3
Persoonia 35, 2015: 21–38 RESEARCH ARTICLE www.ingentaconnect.com/content/nhn/pimj
Cheers,
Jacques
Ethan Crenson,
08-06-2019 18:23
Re : Hairy long necked pyreno
Amazing! Thank you Jacques! I will have a look at Barbatosphaeria barbirostris.








