11-04-2026 15:45
Zuzana Sochorová (Egertová)
Please, could anyone send me this paper?Moyne G.,
11-04-2026 13:34
Artem PtukhaHello, I am seeking assistance with the identific
11-04-2026 10:19
Michel Hairaud
Chers amis d'Ascofrance , voici une très bonne no
11-04-2026 10:10
Michel Hairaud
Dear Ascofrance members, here is some very good ne
10-04-2026 23:22
Gernot FriebesHi,ascospores are 1- to 3-septate, approximately
10-04-2026 15:51
William Slosse
Hello everyone, On 08/04/26, I found a growth sit
09-04-2026 15:25
Jac GelderblomOn bare soil between mosses Ifound an asco I deter
09-04-2026 13:55
Thomas Læssøehttps://svampe.databasen.org/observations/10589176
09-04-2026 10:12
Thomas Læssøehttps://svampe.databasen.org/observations/10587061
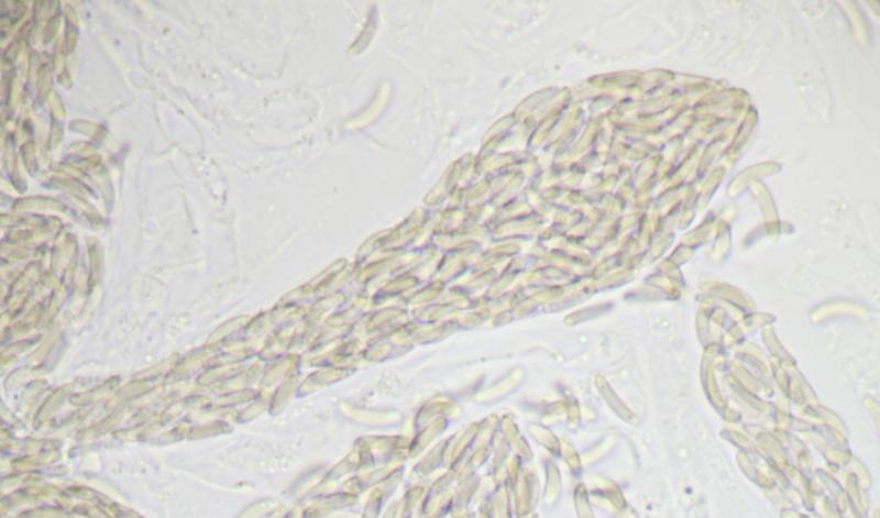
Eutypella-like with polysporous asci
Andgelo Mombert,
26-10-2020 21:17

Bonsoir,
Sur branche morte cortiquée de Robinia pseudoacacia, en bordure de ruisseau, en compagnie de Peroneutypa scoparia, Rosellinia corticium et Calycina claroflava. Ariège, France. Octobre 2020.
Ascomes de 4-12 mm de diamètre, ± confluents, superficiels, surface irrégulière,noirâtre, ostioles peu visibles. Endostroma blanc.
Asques : 70-90 x 11-23 µm, clavés-stipités, multisporiques.
Ascospores : 5,5-7,5 x 2-2,5 µm, allantoïdes, brunes, aseptées, lisses.
L'aspect rappelle Eutypella leprosa, mais la microscopie l'en éloigne totalement. A rechercher du côté des Diatrypella ?
Merci d'avance pour votre aide.
Andgelo
Andgelo Mombert,
02-11-2020 16:56
Re : Eutypella-like with polysporous asci
Bonsoir,
Aucun avis concernant ce champignon ? Même pour le genre ?
L'aspect des ostioles correspond pas trop à un Diatrypella...
Merci.
Andgelo




