11-04-2026 15:45
Zuzana Sochorová (Egertová)
Please, could anyone send me this paper?Moyne G.,
11-04-2026 13:34
Artem PtukhaHello, I am seeking assistance with the identific
11-04-2026 10:19
Michel Hairaud
Chers amis d'Ascofrance , voici une très bonne no
11-04-2026 10:10
Michel Hairaud
Dear Ascofrance members, here is some very good ne
10-04-2026 23:22
Gernot FriebesHi,ascospores are 1- to 3-septate, approximately
10-04-2026 15:51
William Slosse
Hello everyone, On 08/04/26, I found a growth sit
09-04-2026 15:25
Jac GelderblomOn bare soil between mosses Ifound an asco I deter
09-04-2026 13:55
Thomas Læssøehttps://svampe.databasen.org/observations/10589176
09-04-2026 10:12
Thomas Læssøehttps://svampe.databasen.org/observations/10587061
Allophylaria on Salix sp.
Filip Fuljer,
19-11-2020 18:07
I found some strange discos on wood of Salix sp. near the Belá river (under the High Tatras SVK).The specimens occurred in the approx. 3 metres high on the unbarked part of still living willow stem (on wood for sure).
Ap. up to 3 mm broad, finely yellowish, but mainly white or creamy coloured.
Spores - ellipsoid, sometimes slightly curved, 14,3 - 18,1 x 3,3 - 4,5 µm, usually with 1 septa, very often budding
Asci - 8 spored, 105 - 136 x 6,1 - 9,1 µm, IKI -, croziers ? (maybe H+)
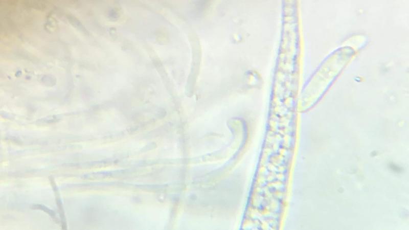
Paraphyses are slightly hooked in the apex, with a visible broader apexal parts (3 - 4,5 µm).
Thank you in advance,
Filip
Hans-Otto Baral,
19-11-2020 18:17
Re : Allophylaria on Salix sp.
Are you sure with 3 mm diam.?
the paraphyses appear consistently hooked. I have no idea at present.
Filip Fuljer,
19-11-2020 18:30
Re : Allophylaria on Salix sp.
Hello Zotto,
I measured them wrongly, they are up to 1mm broad (most often 0,3 - 0,7 mm broad).
Let me apologize for that.
Best regards,
Filip
I measured them wrongly, they are up to 1mm broad (most often 0,3 - 0,7 mm broad).
Let me apologize for that.
Best regards,
Filip











