11-04-2026 15:45
Zuzana Sochorová (Egertová)
Please, could anyone send me this paper?Moyne G.,
11-04-2026 13:34
Artem PtukhaHello, I am seeking assistance with the identific
11-04-2026 10:19
Michel Hairaud
Chers amis d'Ascofrance , voici une très bonne no
11-04-2026 10:10
Michel Hairaud
Dear Ascofrance members, here is some very good ne
10-04-2026 23:22
Gernot FriebesHi,ascospores are 1- to 3-septate, approximately
10-04-2026 15:51
William Slosse
Hello everyone, On 08/04/26, I found a growth sit
09-04-2026 15:25
Jac GelderblomOn bare soil between mosses Ifound an asco I deter
09-04-2026 13:55
Thomas Læssøehttps://svampe.databasen.org/observations/10589176
09-04-2026 10:12
Thomas Læssøehttps://svampe.databasen.org/observations/10587061
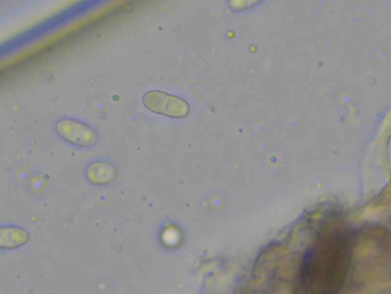
I found this Nectriopsis? on a Stroma of Nemania serpens.
Macro: Perithecia white, glabrous, subglobose, 130-170 µm broad and 140-180 µm high, very readily collapsing when beginning to dry. When colapsed yellowish.
Micro: Asci cylindrical, 30-37 x 3.5-4 µm, apically flattened, 8-spored. Spores 5-6.5 x 2.4-2.8 µm, two-celled, hyaline, finely verrucose (difficult to see).
I hope that somebody can shed some light on this collection.
Many thanks and best wishes,
Stefan







