11-04-2026 15:45
Zuzana Sochorová (Egertová)
Please, could anyone send me this paper?Moyne G.,
11-04-2026 13:34
Artem PtukhaHello, I am seeking assistance with the identific
11-04-2026 10:19
Michel Hairaud
Chers amis d'Ascofrance , voici une très bonne no
11-04-2026 10:10
Michel Hairaud
Dear Ascofrance members, here is some very good ne
10-04-2026 23:22
Gernot FriebesHi,ascospores are 1- to 3-septate, approximately
10-04-2026 15:51
William Slosse
Hello everyone, On 08/04/26, I found a growth sit
09-04-2026 15:25
Jac GelderblomOn bare soil between mosses Ifound an asco I deter
09-04-2026 13:55
Thomas Læssøehttps://svampe.databasen.org/observations/10589176
09-04-2026 10:12
Thomas Læssøehttps://svampe.databasen.org/observations/10587061
Unknown helotiales on moss
Robin Isaksson,
13-12-2020 20:03
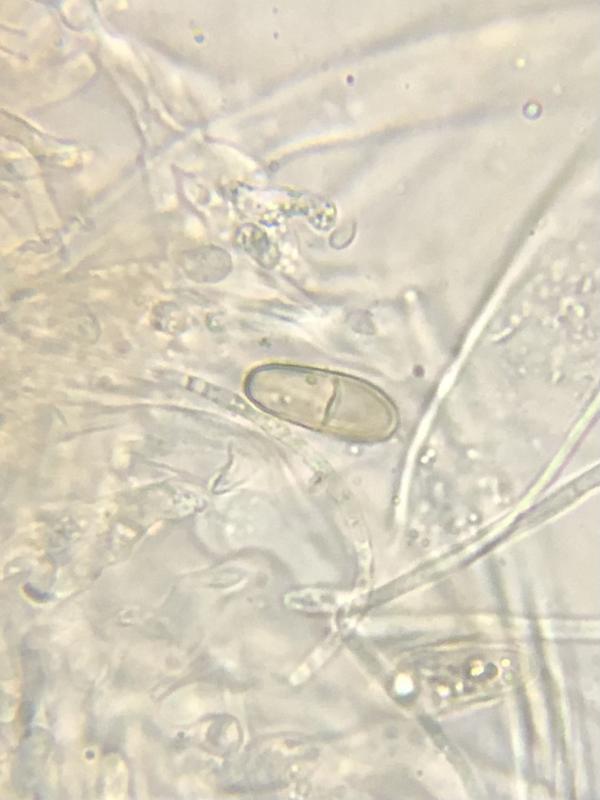
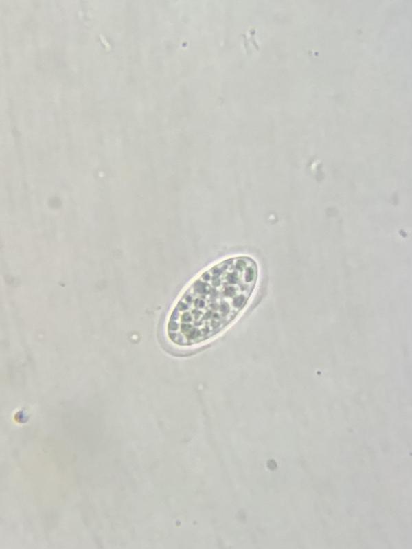
Hi! Spores 22-25x 9-10.5um some one septate But most onecell. Older dead ones lightbrown. No reaction i Ascitopp in lugols. parafyses septate.
Found on Silicate Stone on unknown moss. Racomitrium i think.
Anyone knows it?
Oluna & Adolf Ceska,
13-12-2020 20:42
Re : Unknown helotiales on moss
Try Neottiella albocincta (Berk. & M.A. Curtis) Sacc.
https://mushroomobserver.org/204317
https://mushroomobserver.org/204317
Zuzana Sochorová (Egertová),
13-12-2020 20:53
Re : Unknown helotiales on moss
Hello, it cannot be Neottiella albocincta - it is an operculate species, ascospores have reticulate ornamentation and are nor multiguttulate. Apothecia have hairs and are more vividly orange, also the host moss is different (Atrichum undulatum).
Robin Isaksson,
13-12-2020 20:53
Re : Unknown helotiales on moss
Hi,
Thx for answer.
but im certain its not N.albocincta vrong host (Atrichum undulatum) and spores have not ridges.
Regards
Thx for answer.
but im certain its not N.albocincta vrong host (Atrichum undulatum) and spores have not ridges.
Regards
Hans-Otto Baral,
13-12-2020 21:26
Re : Unknown helotiales on moss
Ha, this I called Mniaecia dicranellae, but it is a nomen provisorium.
Would be good to describe, if it is actually undescribed yet. Mniaecia is still in my Durella folder. We have 3 collections, all on Dicranella. But yours is a different moss, apparently.
Zotto
Oluna & Adolf Ceska,
13-12-2020 21:29
Re : Unknown helotiales on moss
Zuzana, what moss do you have in mind? Robin's moss looks more like Atrichum. Definitely it is not Racomitrium!
Robin Isaksson,
13-12-2020 21:35
Robin Isaksson,
13-12-2020 21:41
Re : Unknown helotiales on moss
Oohh
A nice find then!
I will put is in hebaria as Mniaecia.
If i cant find a proper name for it, otherwise i hope it would be described in the future :)
Thank you for the help with it!
A nice find then!
I will put is in hebaria as Mniaecia.
If i cant find a proper name for it, otherwise i hope it would be described in the future :)
Thank you for the help with it!
Hans-Otto Baral,
13-12-2020 22:05
Re : Unknown helotiales on moss
Yes, please hope ... Always a huge work and hundreds of such species.
Zuzana Sochorová (Egertová),
14-12-2020 08:49
Re : Unknown helotiales on moss
I mean that host of Neottiella albocincta is almost always Atrichum undulatum (one find from South Africa was on Atrichum androgynum). Bryophilous Pezizales are usually very faithful to their host mosses. The moss on the photo isn't Atrichum (and the fungus even isn't Pezizales), but it has already been clarified by others). Best regards, Zuzana














