11-04-2026 15:45
Zuzana Sochorová (Egertová)
Please, could anyone send me this paper?Moyne G.,
11-04-2026 13:34
Artem PtukhaHello, I am seeking assistance with the identific
11-04-2026 10:19
Michel Hairaud
Chers amis d'Ascofrance , voici une très bonne no
11-04-2026 10:10
Michel Hairaud
Dear Ascofrance members, here is some very good ne
10-04-2026 23:22
Gernot FriebesHi,ascospores are 1- to 3-septate, approximately
10-04-2026 15:51
William Slosse
Hello everyone, On 08/04/26, I found a growth sit
09-04-2026 15:25
Jac GelderblomOn bare soil between mosses Ifound an asco I deter
09-04-2026 13:55
Thomas Læssøehttps://svampe.databasen.org/observations/10589176
09-04-2026 10:12
Thomas Læssøehttps://svampe.databasen.org/observations/10587061
Cyathicula ¿?
Garcia Susana,
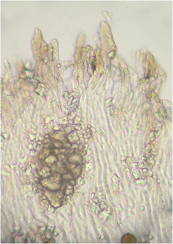
22-12-2020 19:14
Hola,
Tenía esta especie del mes de julio sin identificar claramente.
Los apotecios, estipitados medían hasta 1.4mm de diámetro.
Por las caracteristicas microscopicas, entiendo que es una Cyathicula pero tenía dudas entre cacaliae y cyathoidea.
Es una de ellas? o se trata de otra especie?
Gracias, saludos
Susana
Hans-Otto Baral,
22-12-2020 20:43
Re : Cyathicula ¿?
It looks very pale, I would not hesitate to say C. cyathoides (s.l.).
Garcia Susana,
22-12-2020 21:45
Re : Cyathicula ¿?
Gracias,
Susana






