12-01-2026 22:02
Ethan CrensonHello all, I am hoping someone will have some ins
11-01-2026 20:35
Hello.A very tiny pyrenomycete sprouting sparsely
13-01-2026 18:55
Rees CronceStrossmayeria sp. on indet. decroticate hardwoodTh
13-01-2026 07:57
Danny Newman
cf. Bombardia on indet. decorticate woodAppalachia
13-01-2026 10:13
Danny Newman
Cordieritidaceae sp. on indet. wood w/ Hypoxylon s
13-01-2026 07:28
Danny Newman
Chlorociboria glauca on indet. decorticate logThe
13-01-2026 07:14
Danny Newman
Neodasyscypha cerina on indet decorticate logThe S
13-01-2026 09:10
Danny Newman
Dasyscyphella chrysotexta on indet. decorticate ha
13-01-2026 08:43
Danny Newman
Tricladium varicosporioides on indet. decorticate
13-01-2026 08:49
Danny Newman
Coccomyces sp. on fallen Rhododendron leavesPretty
Dasyscyphella nivea?
Ethan Crenson,
30-10-2025 03:53
Hi all,
I would like an opinion on whether this can be definitively called Dasyscyphella nivea.
Marginal hairs are septate and have granular roughening on the lower parts, but are smooth at the ends. The ends slightly inflated, up to 3.3µm wide.
Asci: IKI+, with (I believe) croziers, 47-55 x 3.9-5.1µm
Spores hyaline, fusiform, 5.6-8.8 x 1.7-2.5µm
Paraphyses somewhat lanceolate up to 2.8µm wide.
From a hardwood branch on the ground, probably Oak.
Apoogies for the poor photos.
Ethan
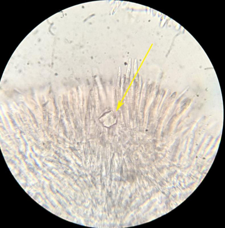
Michel Hairaud,
30-10-2025 10:10
Re : Dasyscyphella nivea?
Hi Ethan,
The genus Dasyscyphella is for sure correct.
Did you notice any crystal in the hairs ? D. nivea , which is fairly common in Europe on the underface of hard logs, genrally shows such crystals.
Amitiés. Michel
The genus Dasyscyphella is for sure correct.
Did you notice any crystal in the hairs ? D. nivea , which is fairly common in Europe on the underface of hard logs, genrally shows such crystals.
Amitiés. Michel
Ethan Crenson,
30-10-2025 23:33










