05-04-2026 22:46
Lothar Krieglsteiner
on wood of Ceratonia, Algarve, 3.4.2026.The color
05-04-2026 20:40
Robin Isaksson
Hi!Found i Japan on bark of Abies sp. Spores 35-4
31-03-2026 21:18
Miguel Ángel Ribes
Good evening. oes anyone have the original descrip
31-03-2026 20:57
Stefan BlaserHello everybody, I hope somebody can help me with
26-03-2026 15:31
Åke Widgren
Hello,I found this one in October last year, on r
31-03-2026 16:20
Mlcoch Patrik
Hello, Please about help with determination. On
31-03-2026 08:19
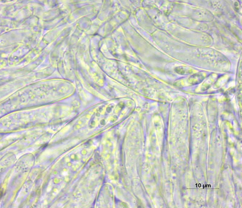
Bernard CLESSE
Bonjour à toutes et tous,Pourriez-vous m'aider à
Trouvé sur branche morte et décortiqué d'Abies alba (au bord d'une zone maregageux à 1'010m), apothécies 0.15 - 0.4 mm, stipitées, surface externe et marge densément couvertes de poils, hyménium rouge-brun, asques 32 - 45 x 6.5 - 8 µm, avec crochets, octosporés, IKI-, spores 7 - 10 x 2.1 -2.8 µm de diamètre, paraphyses dressées et pluriseptées, poils à la base épaissie et bombée, le sommet mince et courbé en crochet, jusqu'à 20 µm.
Merci d'avance pour vos avis.
Elisabeth
I would have earlier replied if I knew a name. I saw I have some conifericolous collections in my main folder and I now created a folder "Conifers" for them.
Maybe some of them are conspecific. The short hairs in your fungus resemble those in HB 5815, on wood of Picea.
Zotto
Elisabeth








