05-04-2026 22:46
Lothar Krieglsteiner
on wood of Ceratonia, Algarve, 3.4.2026.The color
05-04-2026 20:40
Robin Isaksson
Hi!Found i Japan on bark of Abies sp. Spores 35-4
31-03-2026 21:18
Miguel Ángel Ribes
Good evening. oes anyone have the original descrip
31-03-2026 20:57
Stefan BlaserHello everybody, I hope somebody can help me with
26-03-2026 15:31
Åke Widgren
Hello,I found this one in October last year, on r
31-03-2026 16:20
Mlcoch Patrik
Hello, Please about help with determination. On
31-03-2026 08:19
Bernard CLESSE
Bonjour à toutes et tous,Pourriez-vous m'aider à
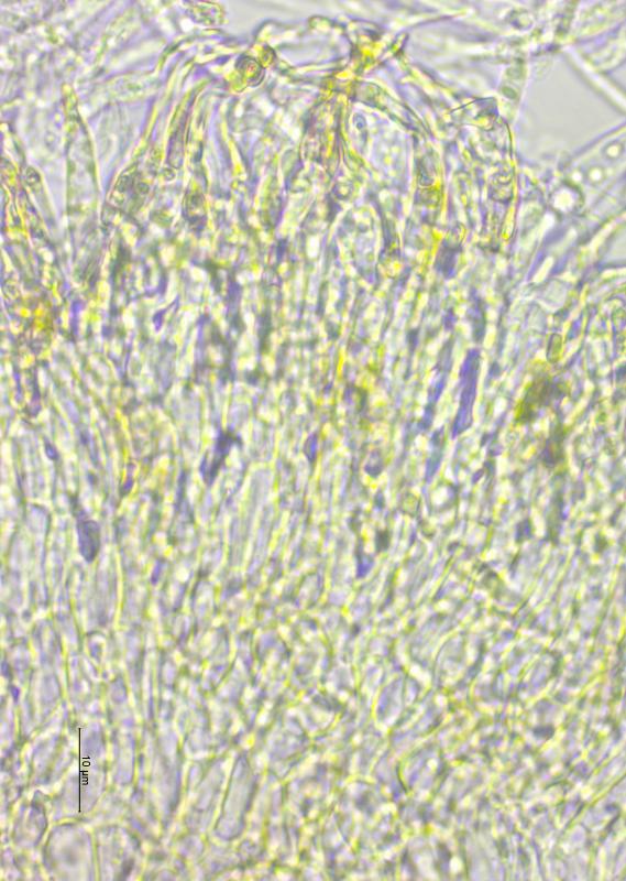
Bonsoir,
Sur tige morte d'Epilobium angustifolium (au bord d'un chemin blanc à 1'630m).
Apothécies 0.1 - 0.2 mm de diamètre, hyménium gris à jaune clair, surface externe et marge couvertes de poils, asques octosporés, 47 - 65 x 7 - 9 µm, IKI+, crochets+, spores lisses, hyalines, 11- 15 x 2.75 - 3.5 µm, paraphyses à contenu réfringent, idem les poils de la marge, crochus au sommet.
Merci d'avance pour vos avis.
Elisabeth
erinnert etwas an C. flaveola, aber die ist ja 4 sporig und an Farn.
Ist schwierig, und man muss in Phialina schauen, bei Raitviir etc.
Zotto








